
Digitales Röntgen
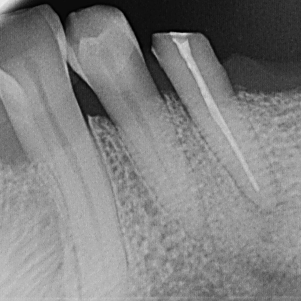
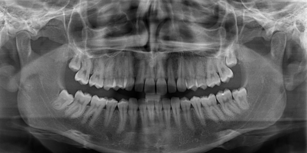
Eine der wichtigsten Untersuchungsmethoden des Zahnarztes ist schon seit Jahrzehnten das Röntgen. Das entstehende Röntgenbild zeigt die innere Beschaffenheit der Zähnen und der Kiefer. Es hilft somit bei der Erstellung von Diagnosen und ist für die Behandlungsplanung eine wichtige Voraussetzung. Je nach Fragestellung kann ein digitales Röntgen von einzelnen Zähnen und begrenzten Kieferbereichen, aber auch eine umfassende, so genannte Panoramaaufnahme (ein OPG) angefertigt werden.
Wozu eigentlich Röntgen?
Das Erstellen einer Röntgenbildes dient beispielsweise der Diagnose von Erkrankungen des Zahnhalteapparates, Frakturen von Zahn und Kiefer, Entzündungen, Neoplasien, der frühzeitigen Erkennung von Nichtanlagen, verlagerten und retinierten Zähnen sowie der Erkennung von Karies. Da in vielen Fällen die Oberfläche der Zähne glatt ist und der Zahnschmelz auf den ersten Blick intakt scheint, ist ein Teil der beginnenden Karies für den Zahnarzt nur im Röntgenbild erkennbar.
welche Vorteile hat digitales Röntgen?
- Schneller Versand an Kollegen und entfallender Rückversand
- Reduzierung der Strahlenbelastung um bis zu 90%
- das Entwickeln der Röntgenaufnahme und damit verbundene Wartezeiten entfallen
- die Röntgenaufnahme steht sofort auf dem Bildschirm zur Verfügung
- unkomplizierte Weiterverarbeitung am Computer und damit Ersparnis eventueller Wiederholungsaufnahmen
- keine Umweltbelastung durch Chemieabfälle
- es können keine Röntgenbilder mehr verlorengehen
- minimaler Platzbedarf für die Archivierung

